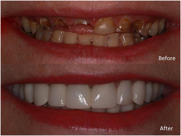
Dental implants are reshaping the future of dentistry in a whole new way giving patients new opportunities to experience a happier and healthy set of teeth. Fixing broken or dull teeth has never been more convenient now that implants can replace and match for those lost set of teeth with life-like modern restorations designed and engineered with the market's best quality products. When Titanium-build artificial roots begin to act as anchors, they would function by supporting artificial teeth structures to cover gaps and spaces left by removed cavities.
Dental implants can offer you not just a healthy set of teeth but also a broader and fuller smile.
Some of the best features of implants are:
1. Dental Implants
Enjoying the best from having a healthy set of teeth begins by ensuring that they remain and stay healthy. If your natural teeth have been suffering a great deal of pain and required to be removed, they can now easily replace lost or missing teeth with dental implants. Dental implants are titanium tooth roots that can provide a stable and solid foundation to place artificial restorations.
2. Bridges
Bridges are dental appliances that are fixed to two adjacent teeth replacing the missing tooth in between. Most conventional bridges come in the form of crown-like structures. Bridges can be made of porcelain-metal, all-porcelain, or metal-free zirconia.
3. Dentures
Dentures are a removable set of teeth that can help replace missing ones. They can either replace some of your teeth or teeth as a whole. Dentures can be engineered using resin or Acrylic material. Acrylic dentures are widely used due to its numerous benefits as a tooth replacing option.
Request your appointment with MAK Dental today for a fuller smile! Book online or call us at (707) 554-2600.

Neodent® NeoArch®.
Immediate fixed full-arch solution.
Increasing expectations for shortened treatment duration represents a significant challenge for dental professionals especially in patients with anatomical deficiencies. The Neodent® Implant System offers an optimized solution for immediate fixed treatment protocols in edentulous patients. This type of system allows for improved patient satisfaction and quality of life by immediately restoring function and esthetics according to survey results.

Immediate function resulting in shorter treatment times.

Immediate natural-looking esthetics
The All-On-X treatment concept is a prosthodontic procedure (i.e replacement of missing teeth) that provides a permanent, screw-retained, same-day replacement for the entire upper and / or lower set of teeth with a bridge or denture. The procedure is best for patients with significant tooth loss or decay, and for people whose bone loss in the jaw area prevents them from getting conventionally oriented (vertical) dental implants. Often, tooth loss is accompanied by loss of the jaw bone, which poses the problem of reconstruction of the jaw bone requiring bone grafting. The All-on-4 technique takes advantage of the dense bone that remains in the front part of the jaws, and by placing the two posterior implants on an angle to avoid the sinus cavities in the upper jaw and the nerve canal in the lower jaw. For the implementation to be successful a careful analysis of the bone structure needs to be made. The most ideal way to evaluate the bone is by a cone beam computed tomography (CBCT) scan. The All-on-4 protocol is for at least four implants to be placed in a jaw. The back implants are typically angled approximately 30 to 45 degrees from the occlusion (biting plane). The implant is placed in front of the maxillary sinus in the upper jaw (maxilla), and in front of the mental nerve in the lower jaw (mandible). The head of the implant emerges in approximately the second premolar position. This will allow a molar tooth to be cantilevered posterior, resulting in a denture or bridge with approximately twelve teeth.
Pros
Cons
In your initial consultation, X-rays or a CT-scan may be used to help determine whether it's a good treatment option for you.
If you’re missing only a few teeth and otherwise have many healthy ones, your dentist may instead recommend a different treatment plan, such as traditional dental implants.
If you go ahead with All-on-X, you’ll most likely have the implants inserted and your new prosthetic teeth attached in the same procedure.On the day of surgery, you’ll be under either local or general anesthesia at the dental office.
Your dentist first pulls any remaining teeth and infected gum tissue to prepare your mouth for implant placement.
Then they will place two screws (usually titanium) toward the front of the mouth and two toward the back of the mouth, to anchor the new prosthetic teeth.
Initially, you’ll be given a temporary arch while your jaw heals and the implant screws fuse to the bone. This process, known as osseointegration, has the added benefit of preventing bone loss and can help your facial structure look more youthful over time.
Four to six months later, once you’ve healed, these temporaries will be replaced with your permanent new teeth arch.
All-on-X implants can last from 5 years to more than 40 years, but 20 years are the average, with diligent care and maintenance. They’re considered a practically permanent solution, but how long your implants last will depend on several factors.
The most important factor is the material from which they’re made. Many dentists say that zirconia or hybrid-acrylic/titanium materials are the most durable and last longer than porcelain.
Good oral health hygiene is crucial to your implants’ longevity. Brush and floss them regularly, as you would your natural teeth, and follow any specific care instructions from your dentist.
Chips or cracks that develop over time can be repaired, but it’s best to try to prevent them. Wearing a mouthguard at night will protect your new teeth from grinding and pressure that can lead to cracks.
All-on-X has a high success rate, but as with any surgery, there are risks and drawbacks. The most common risks are infection, nerve damage, or gum damage.
It’s also possible that your prosthetic teeth could break, particularly if the bite is off during the healing period.
Keep in mind that getting this type of implant may limit your options down the road, if it doesn’t work out. "The typical All on 4 case requires significant bone reshaping in order to make room for the prosthesis. Once this is done, the bone is reshaped for life," says Miami periodontist Dr. John Paul Gallardo, DDS. "In some of these cases, if the All on X procedure does not work, the patient may need to accept a removable full denture as the only alternative."
Additional cost will be charged for recalls and All-on-X maintenance.
MAK Dental can connect you with vetted lenders for financing options that fit your budget and timeline.


480 Redwood St., 13,
Vallejo, CA 94590
Phone: (707) 554-2600
Phone: (707) 652-2273
MON - FRI 9:00 am - 6:00 pm
SAT - SUN Closed